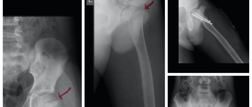
Traumatic Slip of Upper Femoral Epiphysis

Slip of the upper femoral epiphysis known as Slipped Capital Femoral Epiphysis (SCFE) develops during periods of rapid growth,..

Read more
MIS (Minimally Invasive Surgery)-Pelvi-Acetabulam

Pelvi-Acetabular injuries are complex injuries sustained due to high energy trauma like road traffic accident, fall from heights etc..

Read more